
编者按:在公共卫生领域,结核病这一古老疾病正以惊人的速度卷土重来。2024年,全球结核病感染人数突破800万,自1995年以来首次创下历史新高,甚至超越了新冠疫情的影响。随着抗生素耐药性问题日益严峻,传统治疗手段面临巨大挑战。然而,希望之光已然闪现——约翰斯·霍普金斯大学研发的突破性鼻喷疫苗,通过精准靶向耐药菌株的生存机制,在动物实验中展现出清除病原、防止复发的卓越潜力。这场人类与结核菌的百年博弈,或将迎来全新的转折点。
巴尔的摩讯——2024年结核病感染人数突破800万,超越新冠肺炎感染规模,创下自1995年以来的历史峰值。在抗生素耐药性日益严峻的背景下,约翰斯·霍普金斯大学研发的新型疫苗带来了破局曙光。
这款基于DNA技术的鼻喷疫苗通过靶向两个关键基因,助力免疫系统剿灭那些能在长期抗生素治疗后存活、导致疾病复发的耐药“潜伏菌”。
“当鼻喷DNA融合疫苗与一线结核药物联合使用时,受感染小鼠的病原菌清除速度显著加快,肺部炎症减轻,治疗结束后更有效防止了病情复发。”研究负责人斯泰利亚尼·卡拉尼卡强调。她身兼约翰斯·霍普金斯大学结核病研究中心核心成员与医学院助理教授双职,该结论已通过校方官网发布。
她进一步阐释,采用鼻喷给药能将免疫反应精准聚焦于鼻窦与肺部黏膜——这正是感染发生的起始阵地。
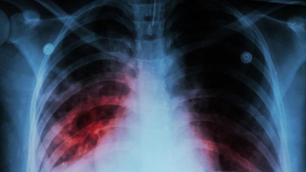
据世界卫生组织界定,结核病是由细菌引发的传染性疾病,通常通过咳嗽传播并侵袭肺部。2024年全球新增感染超1000万例中,约120万人因此丧生;全球约四分之一人口携带结核杆菌而无症状,其中5%至10%会发展为活动性结核病。婴幼儿一旦感染,患病风险尤为突出。
典型症状包括持续咳嗽(有时带血)、胸痛、虚弱乏力、体重下降、发热及夜间盗汗。该病通常需抗生素治疗,若放任不管可能致命。
尽管开展人体临床试验前仍需更多研究支撑,但卡拉尼卡透露,恒河猴实验已成功验证该疫苗激活免疫系统的能力。解锁完整报道。保持信息同步。每周仅需1.99美元起即刻订阅,畅读所有专题报道,更可同步浏览电子报与移动端应用,随时随地无缝阅读。掌握前沿资讯,助力在地 journalism,与您所在的社群深度联结。立即订阅